

Vừa qua, Khoa Ngoại tổng hợp&chuyên khoa - Trung tâm Y tế Lâm Thao đã tiếp nhận người bệnh Đ.T.V, 10 tuổi, địa chỉ xã Cao Xá, Lâm Thao, Phú Thọ vào viện trong tình trạng đau nhức, hạn chế vận động cẳng-bàn tay trái.
Trước đó 15 ngày, sau khi bị ngã gãy xương cẳng tay trái, người bệnh được gia đình đưa đi bó thuốc nam. Tuy nhiên tình trạng đau và hạn chế vận động cẳng-bàn tay trái ngày một tăng dần.
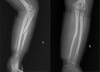
Tại Trung tâm Y tế Lâm Thao, sau khi thăm khám và thực hiện các cận lâm sàng cần thiết, các bác sĩ xác định người bệnh bị gãy 1/3 giữa xương trụ tay trái can lệch, chỉ định phẫu thuật sửa trục chi kết hợp xương bằng nẹp vít khoá cho người bệnh.
Ca phẫu thuật diễn ra thành công, hiện tại người bệnh có sức khỏe và tâm lý ổn định, tình trạng đau nhức đã thuyên giảm nhiều, có thể thực hiện các động tác tập vận động đơn giản theo hướng dẫn.
Các bác sỹ phẫu thuật cho người bệnh
Theo BS CKI Nguyễn Tiến Quân - TK Ngoại tổng hợp&chuyên khoa: “Về phương diện y học hiện đại, việc điều trị gãy xương gồm hai biện pháp cơ bản là phẫu thuật và bó bột. Bản chất của hai biện pháp này là cố định hai đầu gãy tiến lại gần nhau theo đúng tư thế mà khi nó chưa gãy. Sau đó, một thời gian sẽ giúp xương liền lại. Không hiếm trường hợp người bệnh bị chấn thương nhẹ nhưng do chủ quan không đi khám mà thường đắp lá, đắp thuốc dẫn đến tình trạng bệnh trở nên nghiêm trọng hơn.”
Vì vậy, khi gặp các chấn thương hãy đến bệnh viện hoặc các cơ sở y tế để được các bác sĩ chuyên khoa tư vấn và điều trị kịp thời.